CASOS PARA DIAGNÓSTICO

Caso para diagnóstico 7

Tumor inusual en esclerosis tuberosa

Katia Henostroza. Servicio de Dermatología. Hospital Sant Joan de Déu, Barcelona.

Niño de 3 años con diagnóstico de complejo de esclerosis tuberosa (CET), con antecedentes de angiomiolipomas renales, linfagiectasias abdominales, convulsiones y astrocitoma de células gigantes subependimario (SEGA).

Medicación habitual: Vigabatrina 800 mg cada 12 horas, melatonina 1 ml/día, alimemazina 6 gotas/día y rapamicina tópica 1%.

Enfermedad actual: Desde los 6 meses de edad, presenta dos tumoraciones dolorosas y progresivas en el tronco. A pesar del uso de rapamicina tópica al 1%, la mejoría ha sido discreta. Las lesiones cutáneas no son características del CET, por lo que se decide realizar estudios complementarios, incluyendo biopsia de piel.

Exploración física: Se observan en ambos flancos masas firmes, dolorosas e irregulares (Figura 1), con múltiples quistes de contenido amarillento (Figura 2). Las lesiones distorsionan la anatomía del tronco y abdomen y se extienden a los flancos, espacios intercostales y hemidorso bilateral.

Pruebas complementarias:
- Laboratorio: Hipoproteinemia e hipogammaglobulinemia leve.
- Estudio genético: Mutación en TSC2 (c.1832G>A) confirmada en sangre.
- Tomografía computarizada abdominal contrastada: Masa quística heterogénea infiltrando tejidos blandos, músculo y reja costal, en estrecho contacto con el hígado. Lesión similar en el lado izquierdo. Presencia de múltiples angiomiolipomas renales y engrosamiento mesentérico difuso.
- Resonancia magnética cerebral: Dos nódulos subependimarios con realce en contraste cerca de los forámenes de Monro. El izquierdo (>12 mm) cumple criterios imagenológicos de SEGA.
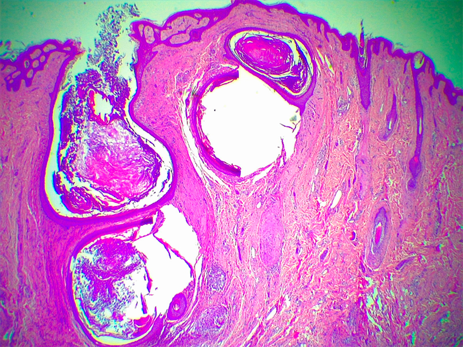
- Histología: Biopsia del flanco derecho con tinción de hematoxilina-eosina (Figuras 3 a 5) e inmunohistoquímica.
- Inmunohistoquímica: HMB45 (Figura 6), desmina (Figura 7), D2-40 (Figura 8), TFE3, cyclina D1, ALK, MyoD1, miogenina, CD31, CD34, AE1/AE3, CD1a y SOX10.

Evolución: Dado el crecimiento tumoral cerebral con criterios de SEGA, la respuesta parcial a rapamicina tópica y la presencia de linfagiectasias, se inicia tratamiento con Everolimus (4.5 mg/m²/día). Se observa una marcada reducción del volumen tumoral, lo que permitió posteriormente la exéresis parcial de la lesión cutánea.


¿Cuál es su diagnóstico?