CASOS PARA DIAGNÓSTICO

Caso para diagnóstico 6

Maculo-placas eritematosas en un hombre sin antecedentes de interés

Joan Ceravalls. Servicio de Dermatología, Hospital del Sagrat Cor, Barcelona

Varón de 58 años, sin antecedentes patológicos de interés ni medicación habitual.
Enfermedad actual: Paciente derivado por la aparición progresiva de lesiones en hemitronco derecho que se han expandido al lado contralateral de 8 meses de evolución. Niega síntomas sistémicos (fiebre, sudoración nocturna, pérdida de peso). Previamente ha sido tratado con corticoides tópicos con mejoría parcial.

Exploración física: Se observan máculas eritemato-marronáceas junto a placas eritemato-edematosas asintomáticas de 1 a 2 cm de diámetro, levemente descamativas no induradas ni dolorosas al tacto (Figuras 1 a 3). No se objetiva afectación mucosa oral, palmo-plantar, ni la presencia de adenopatías o de hepatoesplenomegalia.

Pruebas complementarias:


  • Analítica sanguínea: no se observan alteraciones en el hemograma, en función hepatorrenal ni LDH, tampoco crioglobulinemia.

  • TAC toraco abdominal: ganglios infracentimétricos a nivel torácico (axilares bilaterales y pretraqueal bajo) y abdominales (múltiples pericéliacos, periportales, retroperitoneales altos y bajos, y cadena ilíaca externa izquierda, así como regiones inguinales).

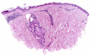
  • Se realizó una biopsia de 4mm de una placa en abdomen izquierdo observándose un infiltrado dérmico perivascular y perianexial superficial sin alteraciones epidérmicas (Figuras 4 y 5). El estudio inmunohistoquímico ha mostrado positividad de marcadores de línea B (CD79a y CD20, Figura 6) y negatividad para CD138 (Figura 7). El índice proliferativo es bajo.

Evolución: El paciente fue tratado con corticoides de alta potencia durante un mes con mejoría parcial de las lesiones sin requerir corticoides sistémicos ni otros fármacos inmunosupresores.


¿Cuál es su diagnóstico?