CASOS PARA DIAGNÓSTICO

Caso para diagnóstico 16

Paciente con eritrodermia mantenida tras toxicodermia grave 

Marc Hernández Santacana. Servicio de Dermatología. Hospital Clínic de Barcelona. 

Hombre de 49 años, sin hábitos tóxicos.
Antecedentes patológicos:  


  • Migraña crónica

  • Nefritis tubulointersticial aguda por AINEs

  • DRESS (Drug Reaction with Eosinophilia and Systemic Symptoms) atribuído a Oxcarbacepina con afectación renal y pulmonar hace unos 4 meses asociado a reactivación de CMV que había precisado ingreso en otro centro hospitalario. Se suspendió el fármaco y recibió tratamiento de forma sucesiva con corticoides sistémicos, inmunoglobulinas endovenosas, micofenolato mofetilo y ciclosporina.

Medicación habitual: Prednisona 45mg c/24h, Ciclosporina 100mg c/12h, Cetirizina 10mg c/8h, Omeprazol 20mg c/24h, Amlodipino 5mg c/24h, Diazepam 5mg c/24h, Lormetazepam 1mg c/24h.

Enfermedad actual: Desde el alta posterior al DRESS, el paciente refería que las lesiones cutáneas que tenía le habían empeorado y eran muy pruriginosas, impidiéndole el descanso nocturno en los últimos meses. Es derivado a nuestro centro por la progresión de dichas lesiones cutáneas de 12 días de evolución que habían progresado hasta afectar casi la totalidad de la superficie cutánea. Refería sensación distérmica asociada, así como edema en región facial y extremidades inferiores. No refería otra sintomatología asociada.

Exploración física: Constantes vitales: TA 150/91mmHg, 96 lpm, Tª 38.5ºC, Sat.O2 99%. Erupción maculopapular confluente y generalizada con presencia de pápulas foliculares en miembros inferiores (Figuras 1 a 4). Asociaba descamación del cuero cabelludo y alopecia difusa. Descamación palmo-plantar (Figuras 5 y 6). Se palpaban adenopatías dolorosas y aumentadas de tamaño en múltiples territorios. No afectación mucosa.

Pruebas complementarias:
Laboratorio:

  • Bioquímica incluyendo función renal y perfil hepático normales, sin alteraciones hidroelectrolíticas. Reactantes de fase aguda negativos.

  • Hemograma: anemia microcítica con Hb de 9.8g/dl (12-16) y VCM 87.5 (80-100), sin alteraciones en la fórmula leucocitaria.  

  • Coagulación en rango.

  • Serologías: negativas para VIH, VHB, VHC, lúes y HTLV-I/II.

  • Autoinmunidad: ANA y resto de autoanticuerpos negativos

Microbiología: Hemocultivos negativos
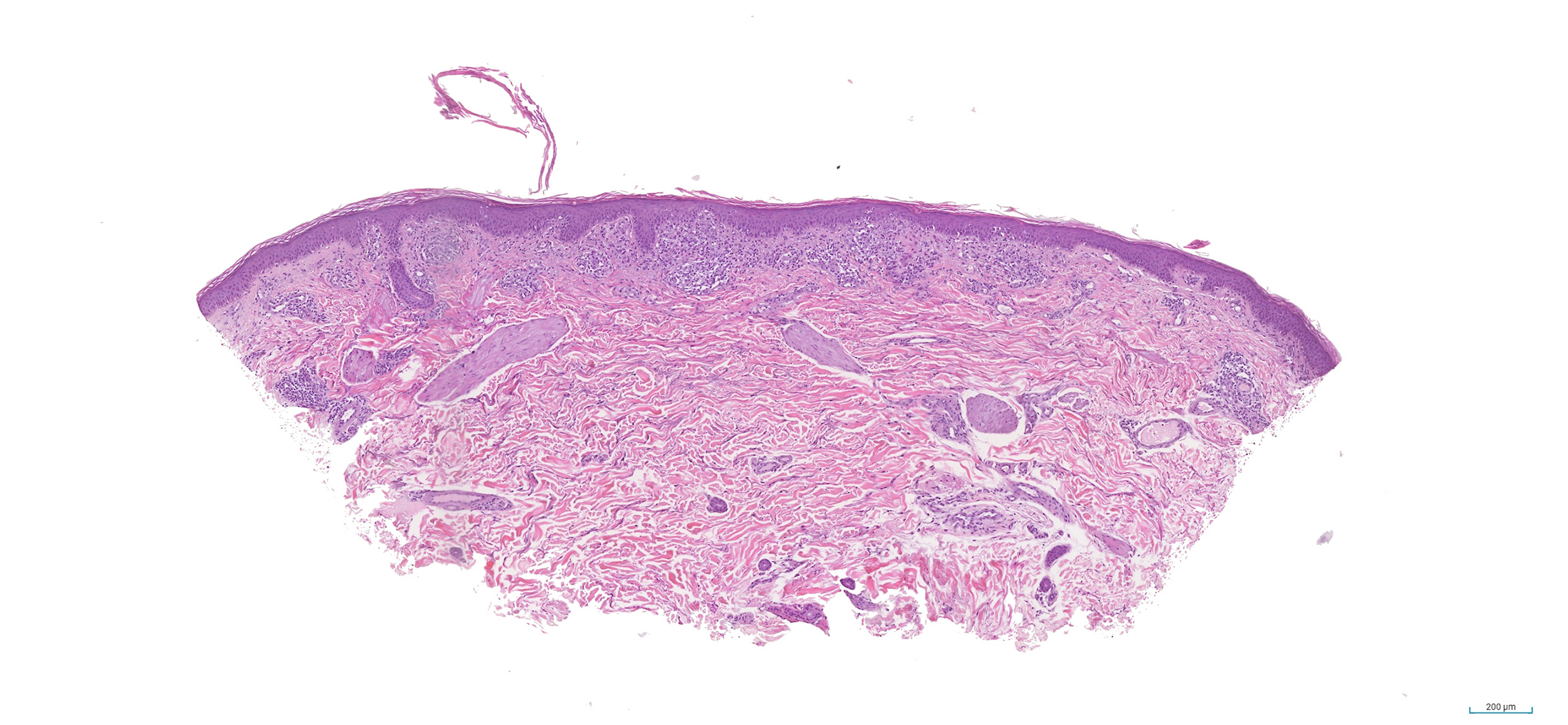
Histología: Se realizó una biopsia para hematoxilina-eosina (Figuras 6 a 10).


¿Cuál es su diagnóstico?