CASOS PARA DIAGNÓSTICO

Caso para diagnóstico 11

Lesiones cutáneas y mucosas en progresión

Joan Àngel Baldó. Servicio de Dermatología. Hospital Universitari Sant Joan de Reus.

Varón de 60 años con antecedente personal de linfoma no Hodgkin tratado con R-CHOP (rituximab, ciclofosfamida, doxorrubicina, vincristina y prednisona), finalizado hace 4 meses con remisión completa. No hábitos tóxicos.

Enfermedad actual: Desde hace 1 mes, presenta lesiones cutáneas en parte alta de tronco y cara. Durante la quimioterapia, tuvo lesiones cutáneas de poca intensidad en cuero cabelludo, cara y tronco, que resolvieron completamente con corticoterapia tópica y oral administrada según protocolo post-ciclo. No ha tomado nuevos fármacos ni ha presentado infecciones u otros síntomas acompañantes.
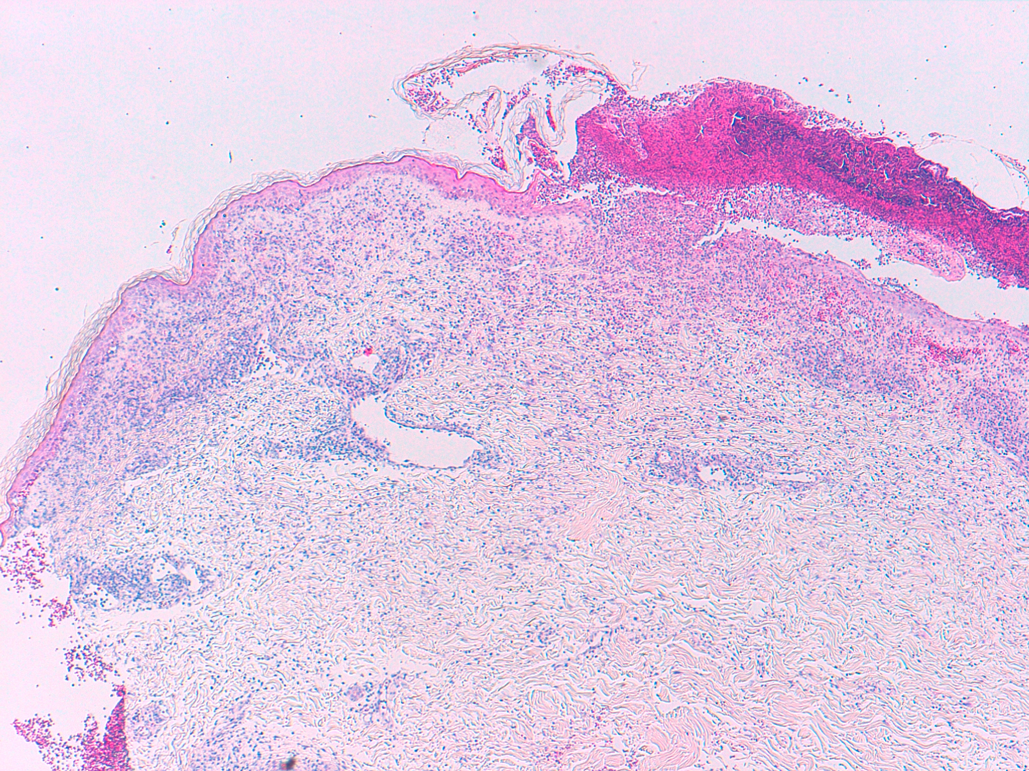
En los últimos 7 días, las lesiones del tronco han evolucionado a áreas ampollosas con erosiones (Figuras 1 y 2). Muestra signo de Nikolsky positivo. En las últimas 48 horas, ha desarrollado mucositis extensa desde la mucosa oral hasta orofaringe, dificultando la deglución, junto con intensa queilitis erosiva (Figura 3), balanitis erosivo-costrosa y nuevas lesiones ampollosas en manos y pies.

Pruebas complementarias:  Se practicaron 2 biopsias. Una de las lesiones ampollares y otra de piel perilesional.

Histología:  Tinción con hematoxilina-eosina (Figuras 3 y 4, HEx40 y HEx200 respectivamente) e Inmunofluorescencia directa (Figura 5, IFD para IgG x200).

Inmunofluorescencia indirecta: Negativa.


¿Cuál es su diagnóstico?