CASOS PARA DIAGNÓSTICO

Caso para diagnóstico 14

Placas eritemato-descamativas en áreas fotoexpuestas

Sofia Gómez Martínez. Servicio de Dermatología, Hospital Clínic de Barcelona

Varón de 52 años sin alergias medicamentosas conocidas.
No refiere antecedentes personales o patológicos de interés ni medicación habitual.
Antecedentes familiares: Padre y hermana afectos de lupus eritematoso sistémico. Madre afecta de artritis reumatoide.

Enfermedad actual: Desde hace 1 año tiene unas placas eritemato-descamativas de predominio en extremidades y tronco. Son mínimamente pruriginosas. El paciente niega posibles desencadenantes como infecciones, vacunaciones, nuevos fármacos o fotoexposición. Recibió tratamiento con hidroxicloroquina 200mg/24h y prednisona 40mg/día en pauta descendente. Tras un año de tratamiento con hidroxicloroquina las lesiones persisten (Figuras 1 a 4), y por dicho motivo es remitido a nuestro centro.

Exámenes complementarios:


  • Analítica: Hemograma, función renal y perfil hepático normal. PCR y VSG normales. Sedimento de orina sin alteraciones.

  • Inmunología: ANAs 1:80 con patrón nucleolar. Anti-U1-RNP positivo. Resto de autoanticuerpos (anti-DNA de doble cadena, anti-Sm, anti-Ro, y anti-La) negativos. C3, C4, y CH50 normales.

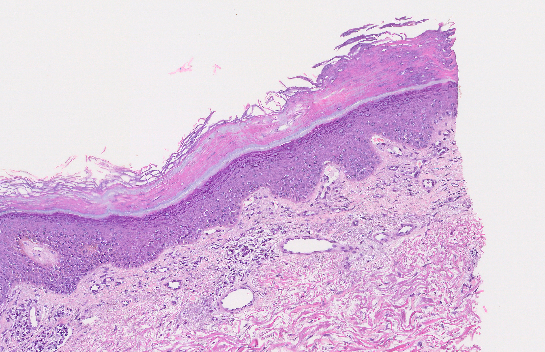
  • Histología: Se practicaron dos biopsias, una para histología convencional de la que se muestran los hallazgos con hematoxilina-eosina (Figuras 5 a 7), Azul-Alcián (Figura 8), PAS (Figura 9), y CD123 (Figura 10). La otra biopsia fue una inmunofluorescencia directa que mostró la presencia de cuerpos coloides intraepidérmicos que se teñían con todos los inmunorreactantes.


¿Cuál es su diagnóstico?