CASOS PARA DIAGNÓSTICO

Caso para diagnóstico 15

Síndrome febril y lesiones cutáneas en paciente VIH de reciente diagnóstico

Javier de la Iglesia. Servicio de Dermatología, Hospital Clínic de Barcelona

Mujer transexual de 34 años, natural de Colombia. Extrabajadora sexual. Portadora de prótesis mamarias y biopolímeros en glúteos.
Antecedentes patológicos: Infección por VIH diagnosticada hace 1 mes.
Medicación habitual: Ninguna
Enfermedad actual: Desde hace 3 meses presenta un cuadro de pérdida de 10kg de peso, diarreas, y adenopatías generalizadas. Además, desde hace una semana presenta fiebre de hasta 39ºC y un exantema maculopapular por lo que ingresa en nuestro centro.
Exploración física: Pápulas eritemato-marronáceas generalizadas discretamente infiltradas de predominio facial (Figuras 1 a 3).

Pruebas complementarias:
- Laboratorio:


  • Hemograma: leucocitos 1,34 x 10^9/L (VN 4-11), hemoglobina 70g/L (VN 120-150), VCM 75,2fl (VN 80-100), plaquetas 75x109/L (VN 130-400), neutrófilos 1,23x109/L (VN 2-7), eosinófilos 0,00 x 109/L (VN <0,5), linfocitos 0,05x109/L (VN 0,9-4,5)

  • Bioquímica: PCR 18mg/dL (VN < 1), procalcitonina 3,9 ng/Ml (VN <0.5), AST 114U/L (VN 5-40), ALT 42U/L (VN 5-40), GGT 97U/L (VN 5-40), FA 343U/L (VN 46-116)

- Microbiología:

  • Serologías VHB, VHC, sífilis, parvovirus, VHS-6, Mycoplasma y C pneumoniae negativas.

  • En los hemocultivos crece una Salmonella typhimurium.

- Radiología: TAC toracoabdominal a los 4 días del ingreso: presencia de nodulillos pulmonares de distribución difusa. Múltiples adenopatías patológicas mesentéricas (Figura 4).
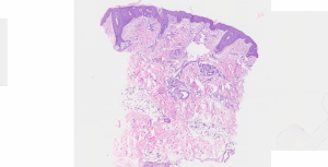
- Histología: Se practicaron dos biopsias, una para histología convencional y otra para cultivo. Se muestran los hallazgos con hematoxilina-eosina (Figuras 5 a 7), Gram (Figura 8), y PAS (Figuras 9 y 10).


¿Cuál es su diagnóstico?