CASOS PARA DIAGNÓSTICO

Caso para diagnóstico 18

Cuadro esclerodermiforme a estudio

Mariona Ayguasanosa Avila. Servicio de Dermatología, Hospital Clínic de Barcelona

Mujer de 41 años, sin alergias conocidas.
Antecedentes médicos: Hipotiroidismo desde la infancia, diabetes gestacional en sus 6 embarazos, dislipemia.
Antecedentes quirúrgicos: Intervención bilateral de cataratas a los 25 años.
Medicación habitual: rosuvastatina/ezetimiba 20/10 mg/d, levotiroxina 88 mcg lu-vi/50 mcg sa-do.
Enfermedad actual: La derivan desde el servicio de Medicina Interna de otro centro por un cuadro esclerodermiforme. La paciente presenta además una hiperpigmentación cutánea generalizada de larga evolución con acentuación en los últimos años. Refiere también unos brotes recurrentes de artritis monoarticular en las muñecas.
Exploración física: Se aprecia una piel difusamente engrosada con hiperpigmentación generalizada que alterna con máculas hipopigmentadas (Figuras 1 a 3). En cara se observa un eritema malar bilateral y leve microstomía (Figura 4), así como la presencia de un cabello fino y con poca densidad.

Exámenes complementarios:
- Analítica sanguínea: hipertrigliceridemia de 261 mg/dL (valor normal <150), leve elevación de ASAT/ALAT 41/55 U/L (VN 5-40). Resto de bioquímica normal, incluyendo hemoglobina glicosilada de 5% (VN 4-6). Hemograma sin alteraciones.
- Estudio de autoinmunidad: negatividad para anticuerpos antinucleares, antimitocondriales, anticélula parietal gástrica, anti-LKM, anti-DNA de doble cadena, anti-Sm, anti-U1, anti-RNP, anti-La, anti-Ro, anti-CCP. Factor reumatoide en rango de normalidad. C3, C4 y CH50 normales.
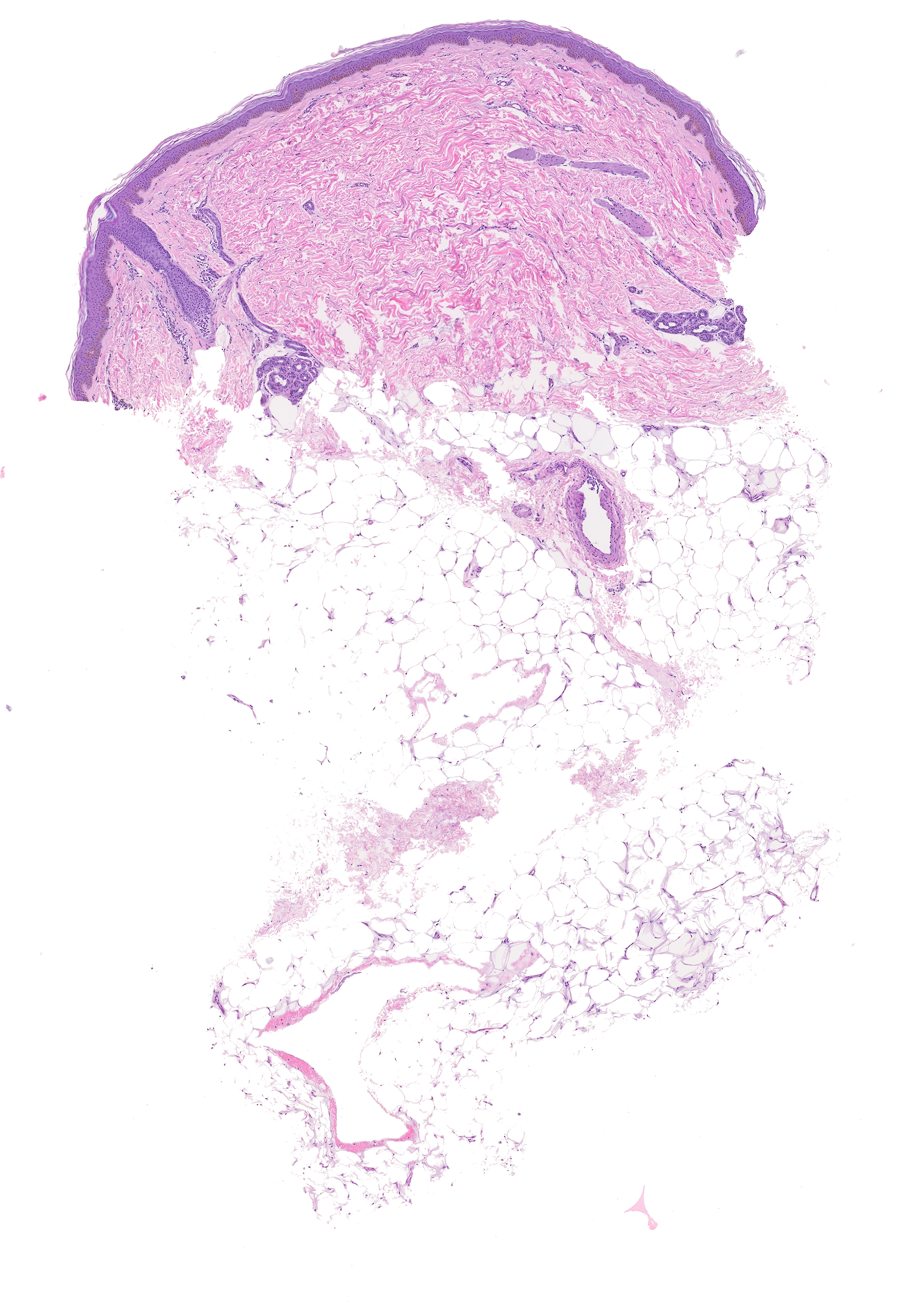
-Histología: Se practicaron dos biopsias cutáneas, una del tronco y otra de la extremidad superior de las que se muestran las tinciones de hematoxilina-eosina (Figuras 5 y 6) y de orceína (Figura 7).


¿Cuál es su diagnóstico?